02 33 79 50 60
Soins de support

Soins de support

Soins de support

Depuis le début de cette année, le Centre de la Baie propose à ses patients de nouveaux soins de support réalisés par nos manipulateurs et manipulatrice :
– Aide à l’auto-hypnose -Relaxation avec Anthony
– Le Toucher massage avec Arnaud
– L’aromathérapie avec Marine et Arnaud
– La consultation vie intime et sexualité avec Bastien
– Le temps d’échange mensuel autour de l’hormonothérapie animé par Aurore et Eugénie DUREY (diététicienne à l’Hôpital Privé de la Baie).


L’ensemble de ces soins de support est proposé tout au long de la prise en charge des patients.


Ils s’ajoutent a ceux déjà proposés à Hôpital Privé de la Baie, diététicienne avec Eugénie DUREY, psychologue, APA, kinésithérapie, addictologie, assistante sociale, socio esthéticienne.

Soins de support en radiothérapie
Logiciel de délinéation automatique

Logiciel de délinéation automatique

Logiciel de délinéation automatique

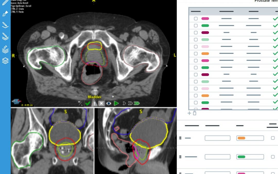
La délinéation, appelée « contourage » dans le jargon de la radiothérapie, est l’étape où sont modélisés les différents organes du patient dans nos logiciels de préparation du traitement. Cette étape essentielle et chronophage est effectuée par le médecin radiothérapeute grâce au scanner de simulation systématiquement réalisé avant de pouvoir débuter le traitement.

Les progrès de l’informatique permettent aujourd’hui d’automatiser, en partie, cette étape. Depuis avril 2022, nous utilisons le logiciel AutoContour proposé par la société RADformation.

Typiquement, le nombre de volumes à délinéer pour un traitement d’ORL est important. Grâce à AutoContour, il suffit de quatre minutes pour modéliser les 30 principales structures présentent sur les images.

Radiothérapie stéréotaxique pulmonaire avec système de suivi respiratoire

Radiothérapie stéréotaxique pulmonaire avec système de suivi respiratoire

Radiothérapie stéréotaxique pulmonaire avec système de suivi respiratoire

Depuis mars 2022, le centre de la Baie propose à ses patients la technique de traitement stéréotaxie pulmonaire.

Celle-ci permet le traitement de petites lésions pulmonaires en un nombre réduit de séances. Elle est réalisée sur notre accélérateur Varian TrueBeam couplé au système de suivi respiratoire RGSC.

Afin d’assurer la reproductibilité du positionnement du patient en prenant en compte son mouvement respiratoire, un CBCT 4D est réalisé avant le début du traitement. Cette modalité d’imagerie, permet de « découper » le scanner de contrôle en plusieurs scanners afin de visualiser le mouvement du volume dans la patient.

Présentation de l’Hôpital privé de la Baie et de ses pôles d’excellence

Présentation de l’Hôpital privé de la Baie et de ses pôles d’excellence

Présentation de l’Hôpital privé de la Baie et de ses pôles d’excellence

L’Hôpital privé de la Baie propose de découvrir ses pôles d’excellence et ses coulisses à travers une vidéo réalisée par l’agence Pastille Prod.

Vous pouvez y découvrir le service de radiothérapie avec ses deux accélérateurs.
COVID-19 et passe sanitaire : recommandations à destination des patients et accompagnants

COVID-19 et passe sanitaire : recommandations à destination des patients et accompagnants

COVID-19 et passe sanitaire : recommandations à destination des patients et accompagnants

À compter du 9 août, le passe sanitaire est mis en place au Centre de la Baie.

Pour les patients :

  • soit présenter un certificat vaccinal justifiant d’une vaccination complète,
  • soit se trouver dans une situation de rétablissement médicalement justifiée,
  • soit présenter un certificat médical de contre-indication à la vaccination contre la Covid-19 et donc présenter un RT-PCR de moins de 72 heures,
  • soit présenter un résultat de dépistage négatif nasal RT-PCR de moins de 72 heures (ou un test salivaire réalisé en laboratoire si le test RT-PCR nasopharyngé est impossible à effectuer).

Le passe sanitaire ne s’appliquera pas aux soins urgents ni à d’autres situations particulières.

Pour les traitements en radiothérapie :

  • Passe sanitaire demandé le 1er jour
  • Si pas de passe sanitaire ou contre-indication à la vaccination, un RT-PCR par semaine, le lundi
  • Les séances des patients sans passe sanitaire seront réalisées en fin de programme

Pour les accompagnants : 1 seul accompagnant autorisé par patient. Celui-ci a l’obligation de présenter son passe sanitaire.

Pour les ambulanciers : Les ambulanciers accompagnent les patients qui le nécessitent dans le service, puis ils doivent ressortir et attendre à l’extérieur de l’établissement durant la prise en charge du patient.

Crise sanitaire Centre de la Baie Avranches
Radiothérapie stéréotaxique cérébrale avec le système HyperArc

Radiothérapie stéréotaxique cérébrale avec le système HyperArc

Radiothérapie stéréotaxique cérébrale avec le système HyperArc

Depuis 2021, le système HyperArc est implémenté pour la radiothérapie stéréotaxique cérébrale.

Le système de radiochirurgie ou de radiothérapie stéréotaxique sans cadre HyperArc permet l’administration particulièrement précise de traitement à fraction unique ou multiple sans le traditionnel cadre stéréotaxique invasif. Un masque plus agréable pour le patient, couvrant la tête et les épaules, simplifie la procédure en surmontant les restrictions de la radiochirurgie avec cadre et en assouplissant la programmation de l’imagerie, de la planification et du traitement.

Le système permet également de traiter plusieurs métastases cérébrales en même temps et de réduire ainsi le temps de traitement.

Table 6D Perfect Pitch au Centre de la Baie d'Avranches
Radiothérapie stéréotaxique cérébrale avec le système HyperArc au Centre de la Baie d'Avranches